Multiorgan paradoxical embolism in an elderly female with a patent foramen ovale: a case report
DOI:
https://doi.org/10.15386/cjmed-1031Keywords:
Patent foramen ovale, paradoxical embolism, pulmonary embolism, deep vein thrombosisAbstract
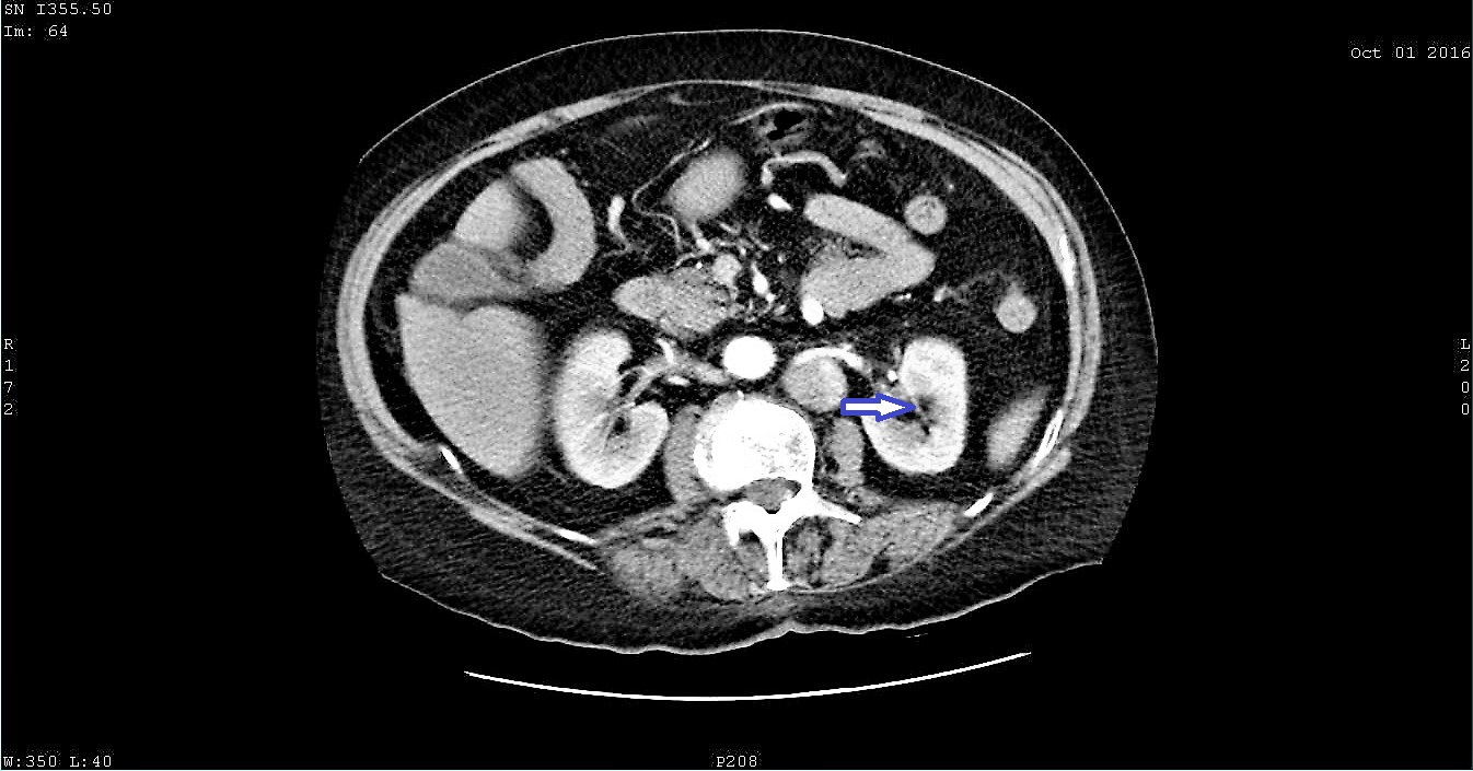
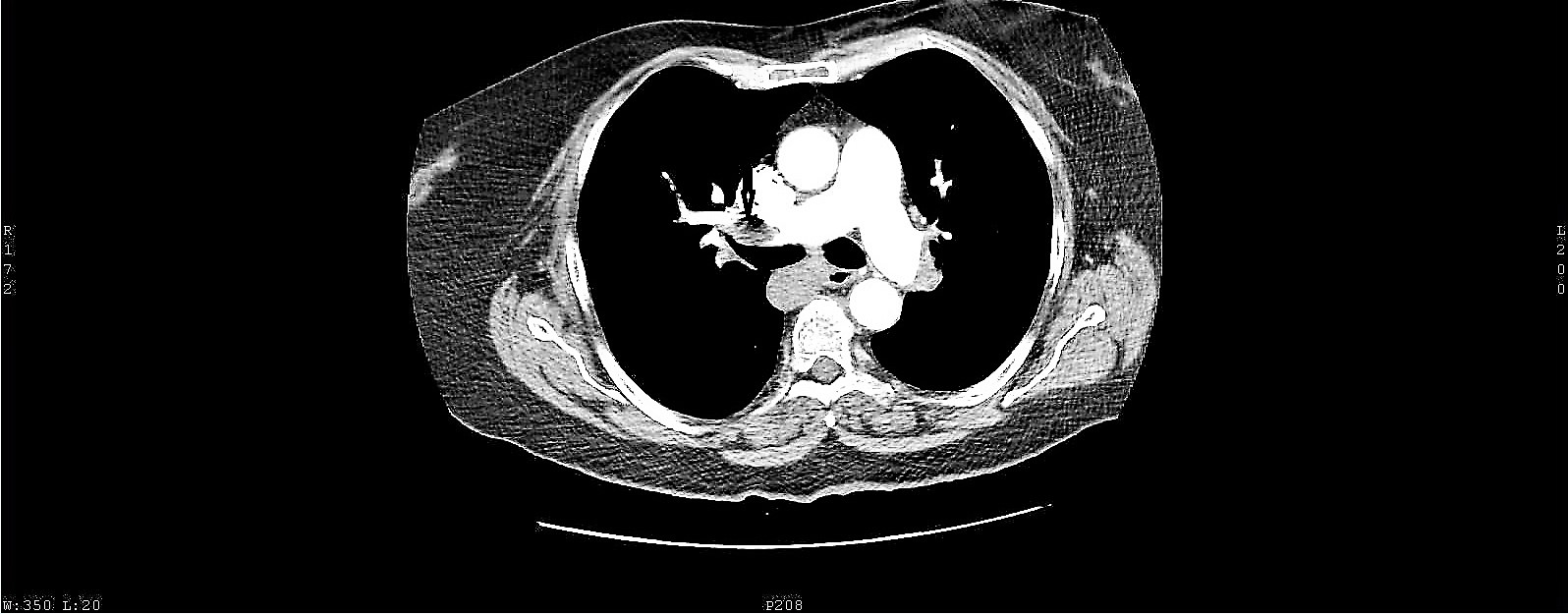
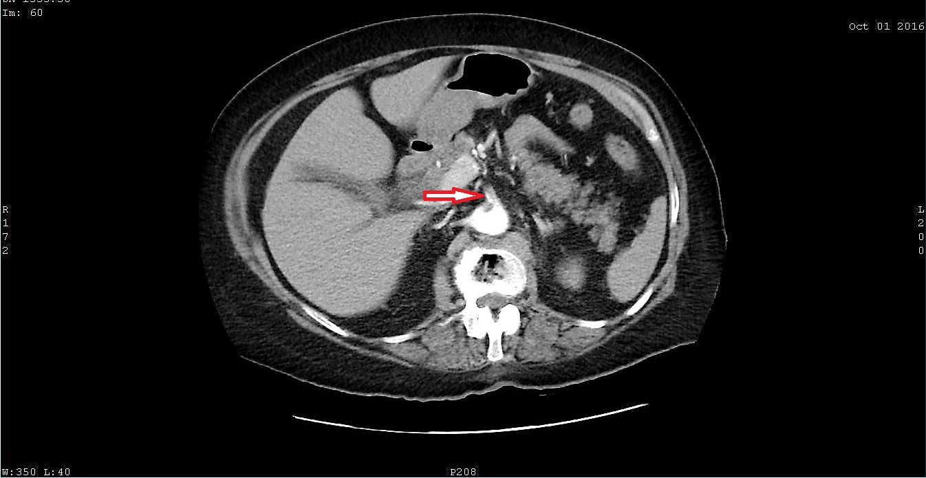
Paradoxical embolism is an uncommon cause of arterial occlusion with a high mortality burden. Current evidence suggests that patent foramen ovale is the most important etiological factor of paradoxical embolism, by acting as a pathway for a thromboembolic material originating from the peripheral veins, passing through the lungs and entering the systemic circulation. Here we present a case of paradoxical embolism in the mesenteric and renal arteries associated with pulmonary embolism and deep vein thrombosis in an elderly woman with no predisposing risk factor. A diagnosis of paradoxical embolism was considered and the presence of a patent foramen ovale was consequently confirmed with a transesophageal echocardiography. Urgent thrombolysis saved the life of the patient. Paradoxical embolism represents an emergency and therefore prompt diagnosis and initiation of therapy may prevent adverse outcomes.
Downloads
Additional Files
Published
How to Cite
Issue
Section
License
The authors are required to transfer the copyright of the published paper to the journal. This is done by agreeing to sign the Copyright Assignment Form. Whenever the case, authors are also required to send permissions to reproduce material (such as illustrations) from the copyright holder.

The papers published in the journal are licensed under a Creative Commons Attribution-NonCommercial-NoDerivatives 4.0 International License.