Otorrhagia as the initial presentation of an internal carotid artery aneurysm in the middle ear. Case presentation
DOI:
https://doi.org/10.15386/cjmed-528Keywords:
otorrhagia, middle ear, internal carotid artery, aneurysmAbstract
Abstract
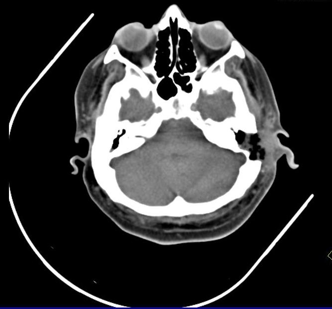
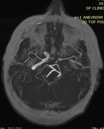
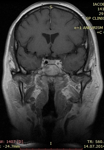
A new case of a 50-year-old female who presented with left otorrhagia caused by an internal carotid aneurysm is reported. No medical history of tinnitus, vertigo, otalgia or otorrhea. Middle ear surgery was effective in resolving bleeding and did not cause any permanent neurological deficit. High resolution computed tomography angiography is the technique of choice and, in some cases, can be complemented with a magnetic resonance angiography. Misdiagnosis of the internal carotid artery aneurysm may lead to serious morbidity because of bleeding or vascular occlusion.
Downloads
Published
How to Cite
Issue
Section
License
The authors are required to transfer the copyright of the published paper to the journal. This is done by agreeing to sign the Copyright Assignment Form. Whenever the case, authors are also required to send permissions to reproduce material (such as illustrations) from the copyright holder.

The papers published in the journal are licensed under a Creative Commons Attribution-NonCommercial-NoDerivatives 4.0 International License.