TRANSIENT ISCHEMIC JEJUNITIS DUE TO SYMPTOMATIC ISOLATED SUPERIOR MESENTERIC ARTERY DISSECTION: CASE REPORT AND REVIEW OF LITERATURE
DOI:
https://doi.org/10.15386/cjmed-719Keywords:
acute abdominal pain, transient ischemic jejunitis, symptomatic isolated superior mesenteric artery dissection, conservative treatmentAbstract
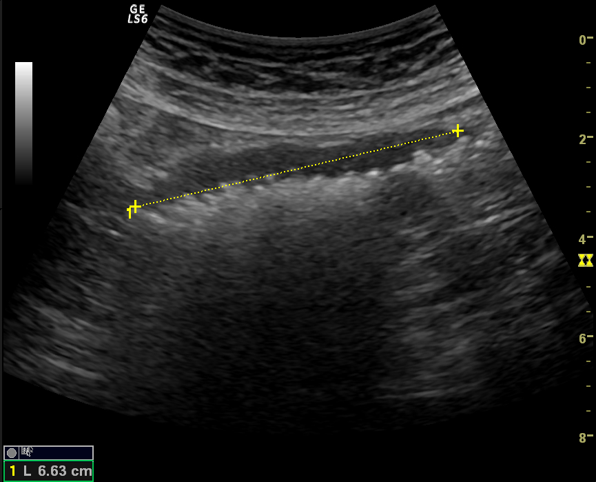
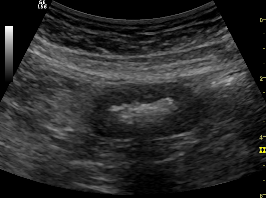
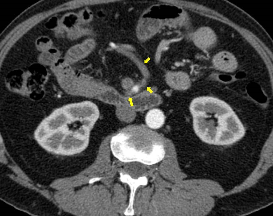
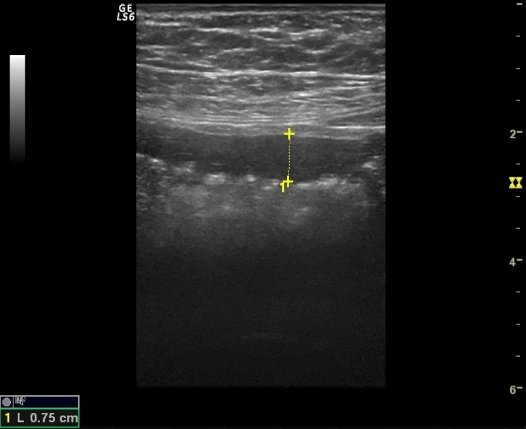
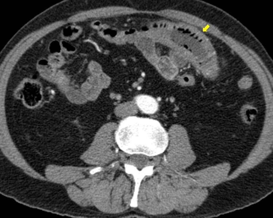
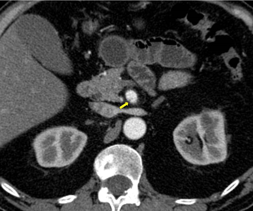
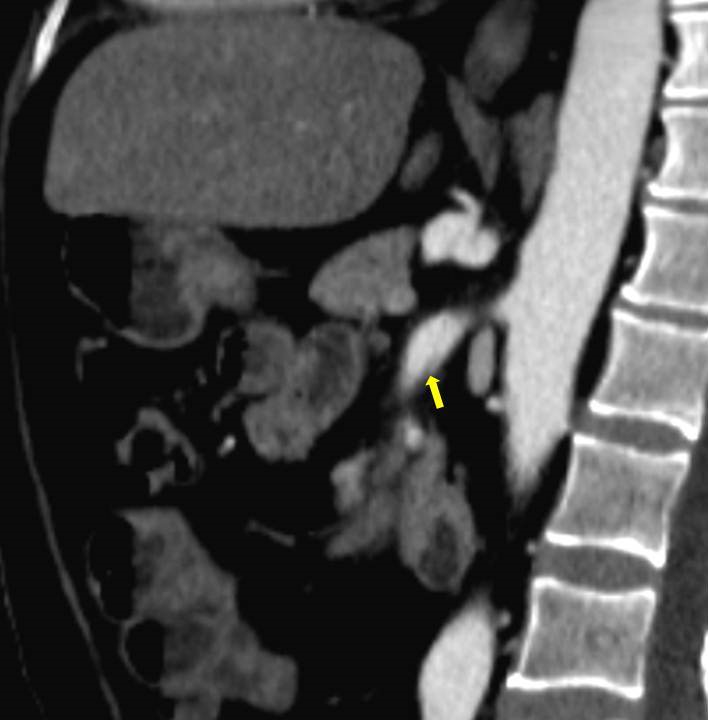
Acute abdominal pain is one of the most common conditions encountered in the emergency department. The differential diagnosis of acute abdominal pain is extensive and identifying the underlying etiology can be challenging. We report a case of acute transient ischemic jejunitis due to symptomatic isolated superior mesenteric artery dissection in a patient with no cardiovascular risk factors or autoimmune diseases. Symptomatic isolated superior mesenteric artery dissection is a rare cause of acute abdominal pain usually treated in the surgical department. The patient had criteria for conservative treatment and rapidly recovered. We highlight a rare condition which should be taken into account for the differential diagnosis of acute abdominal pain.
Downloads
Additional Files
Published
How to Cite
Issue
Section
License
The authors are required to transfer the copyright of the published paper to the journal. This is done by agreeing to sign the Copyright Assignment Form. Whenever the case, authors are also required to send permissions to reproduce material (such as illustrations) from the copyright holder.

The papers published in the journal are licensed under a Creative Commons Attribution-NonCommercial-NoDerivatives 4.0 International License.