Tuberculous Abdominal cocoon in childern– A Single Centre Study in remote area in northern India
DOI:
https://doi.org/10.15386/cjmed-725Keywords:
Intestinal obstruction, cocoon abdomen, Sclerosing Peritonitis, gastrointestinal tuberculosisAbstract
Background. Amongst the numerous causes of intestinal obstruction listed in the literature, sclerosing encapsulating peritonitis also called Abdominal Cocoon (AC) is one of the rarest entities. Its characteristic feature is a thick fibrotic membrane encasing varying lengths of the small and large gut in a cocoon. In India, there is an increasing incidence of tuberculosis, especially in the rural areas.
Aims and objectives. The aim of this study was to investigate the clinical presentation and evaluate the operative findings of tuberculous AC. We also evaluated the outcomes and response to anti tuberculous treatment (ATT) in all the patients diagnosed with this condition.
Material and methods. This study was carried out at M.M. Institute of Medical Sciences and Research, Mullana, Ambala, India between April 2013 – March 2016 in the Department of Pediatric Surgery. This is a prospective study. A total of 17 patients diagnosed with abdominal cocoon secondary to tuberculosis have been included in the study.
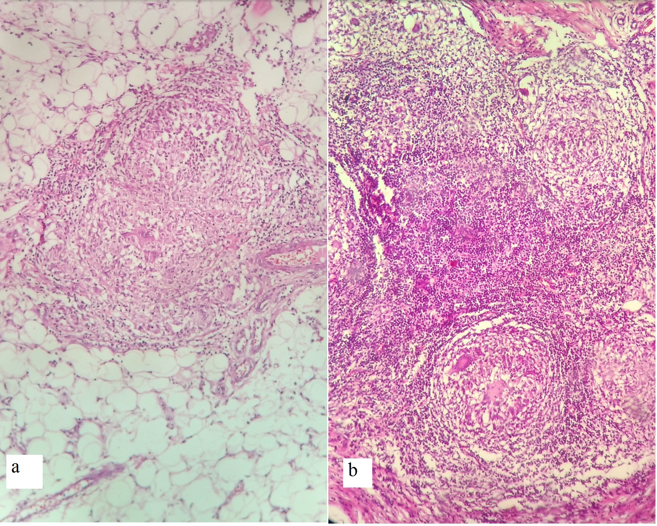
Results. A total of 17 patients presented to the emergency ward with features of acute intestinal obstruction. The average age was 15.3 years (range 9 years to 16 years). There were 14 females and 3 males. All patients presented with abdominal pain, bilious vomiting, constipation and abdominal distention. The patients were operated in our hospital and relieved of their obstruction. Based on their operative findings and after histopathological confirmation, patients were given ATT. In the follow-up, all patients did well, without recurrence of tuberculosis or intestinal obstruction.
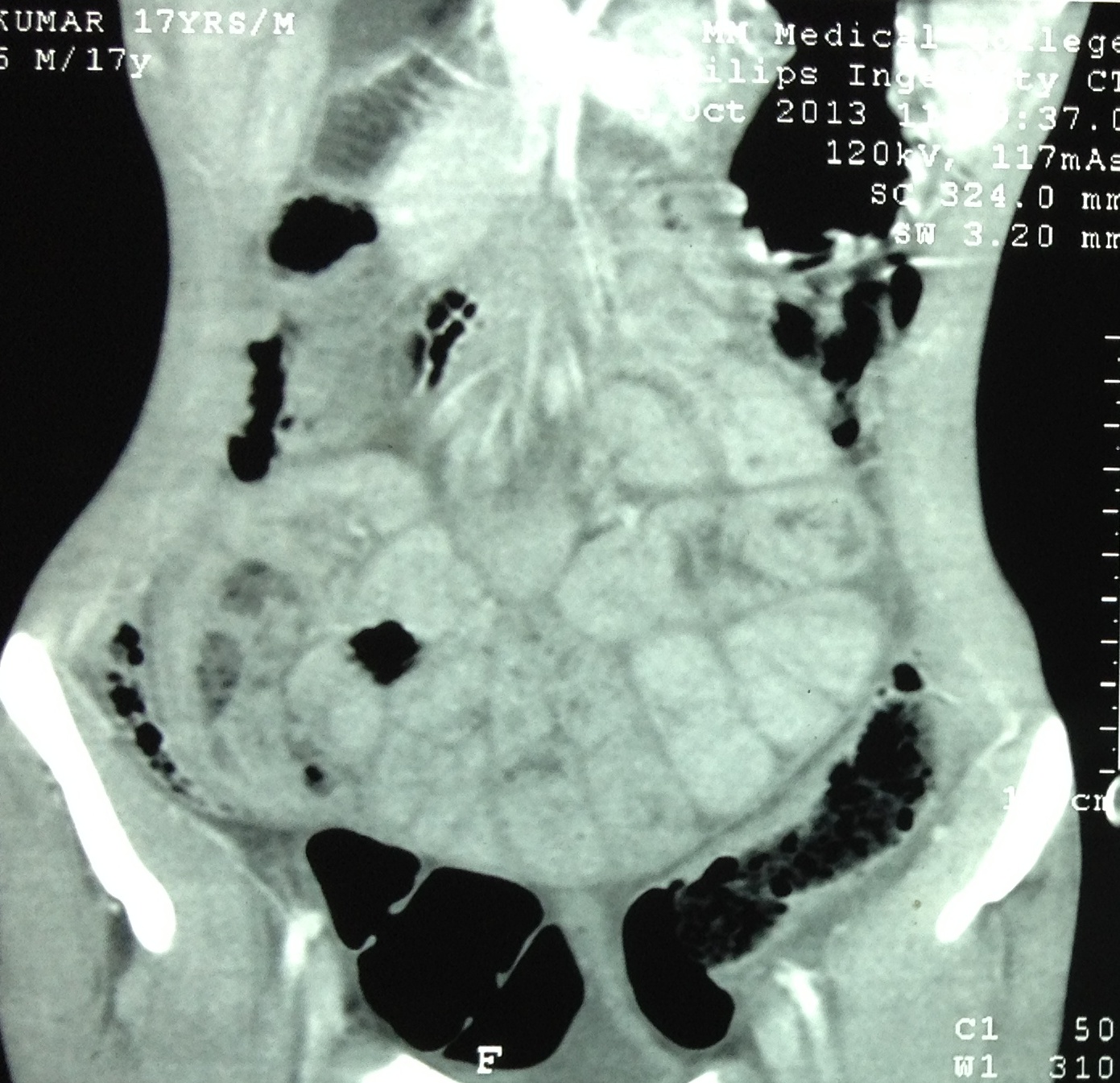
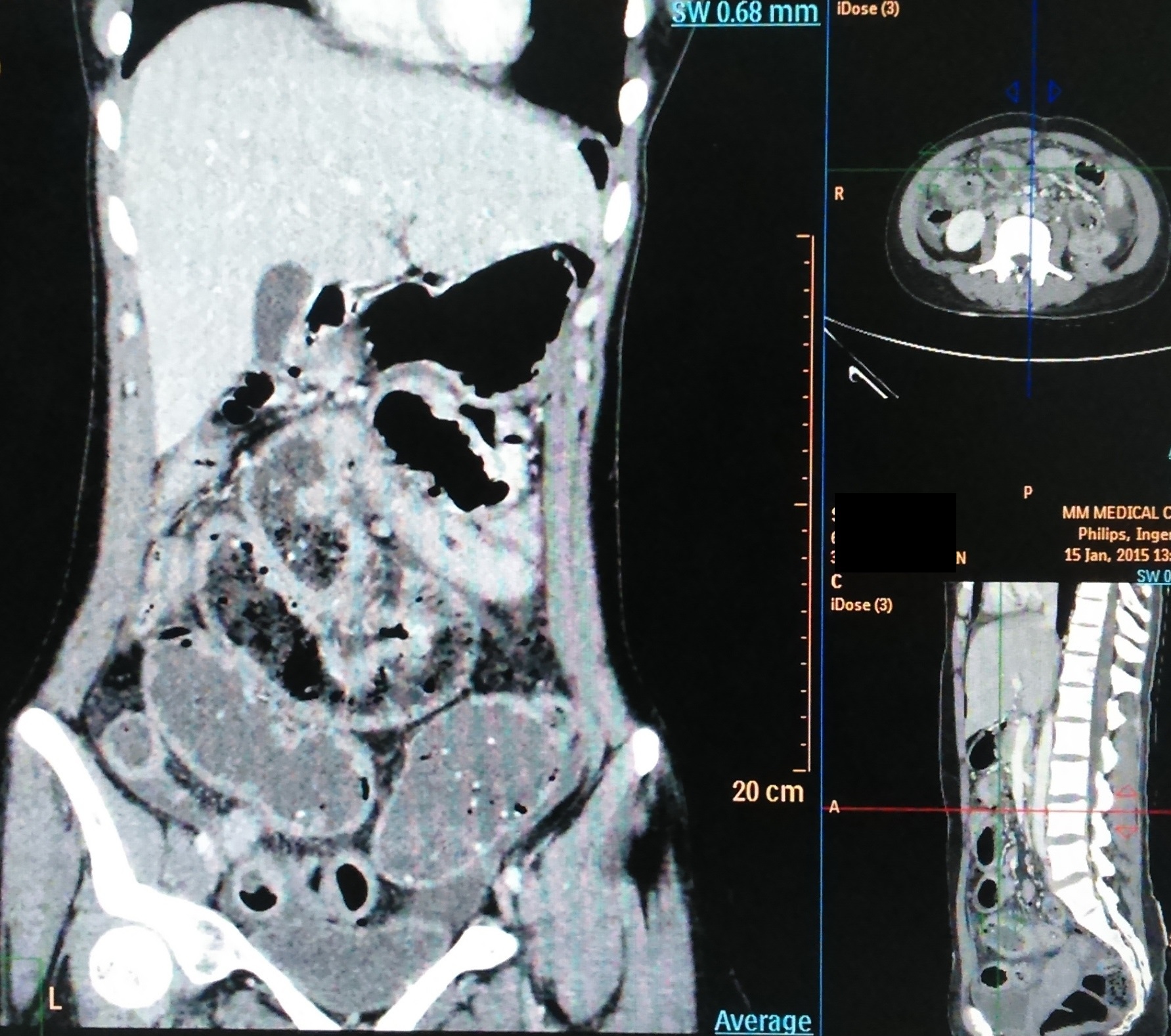
Conclusion. Tuberculosis as a cause of childhood AC is rather common in developing countries and is potentially a fatal condition. A strong clinical suspicion, sonographic and computed tomography scan findings help establish a pre-operative diagnosis. Tuberculous AC has a strong prevalence in females. Surgery is the mainstay of treatment followed by anti-tuberculous drugs.
Downloads
Published
How to Cite
Issue
Section
License
The authors are required to transfer the copyright of the published paper to the journal. This is done by agreeing to sign the Copyright Assignment Form. Whenever the case, authors are also required to send permissions to reproduce material (such as illustrations) from the copyright holder.

The papers published in the journal are licensed under a Creative Commons Attribution-NonCommercial-NoDerivatives 4.0 International License.