Cutaneous dental sinus of submental region: An eight years follow-up
DOI:
https://doi.org/10.15386/cjmed-812Keywords:
abscesses, chlorhexidine, large peri-apical lesion, dermatitis, diagnosis, oral wound healingAbstract
A 22-year-old female patient had a history of a 7-month recurrent pus discharge from her chin. She had been previously treated by physicians, dermatologist, and surgeons. The sinus kept re-occurring and she was referred to dental hospital for opinion.
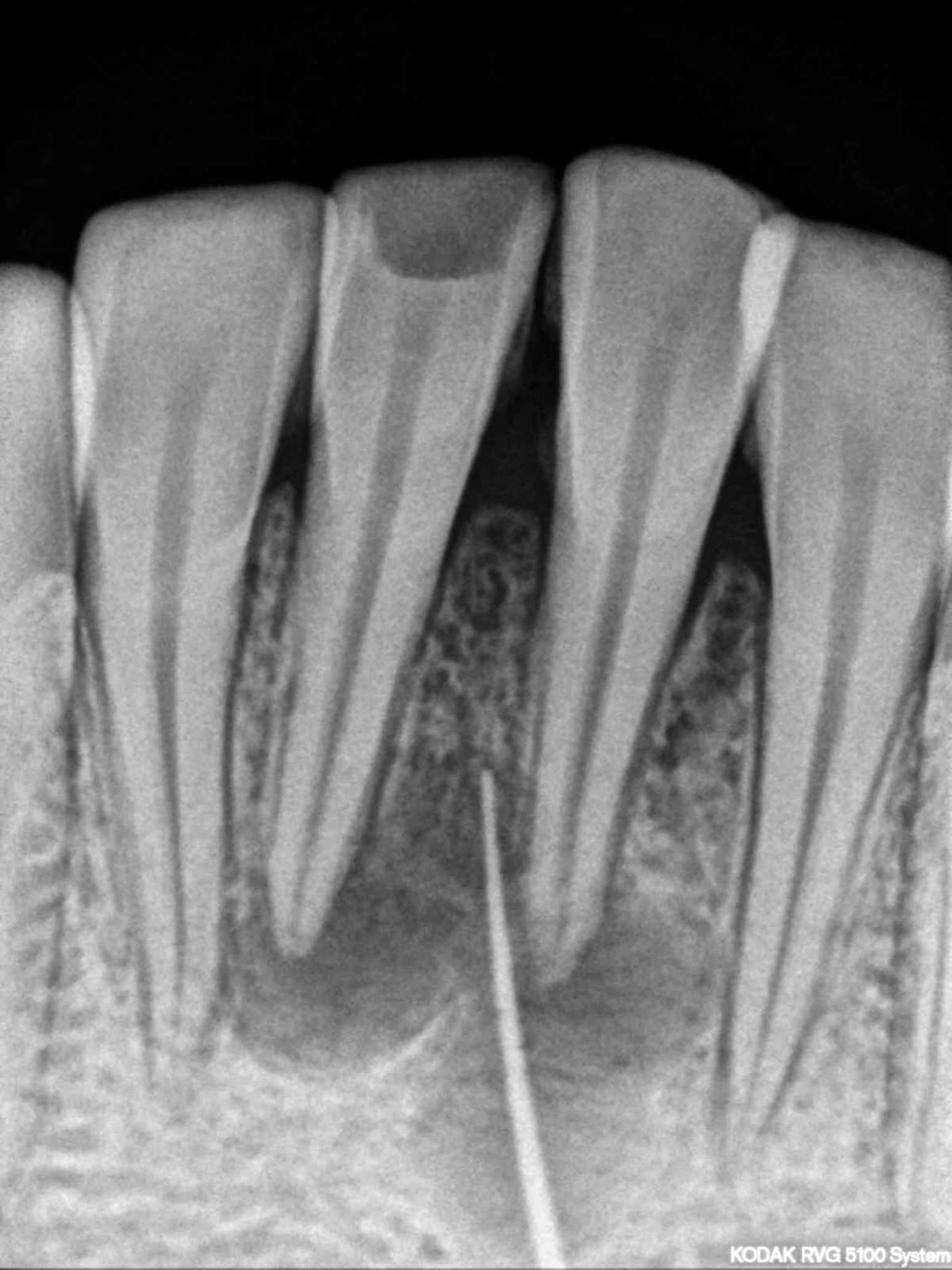
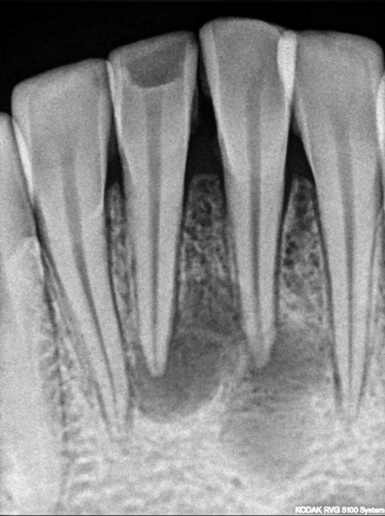
The patient had cutaneous opening of size 5mm × 6mm with purulent discharge in submental region. Patient had undergone three surgical excisions and multiple antibiotic regimens. Patient had a history of trauma due to fall six years back. A 30 number standard gutta-percha was used to trace the sinus tract and dental origin was confirmed radiographically. The tract led to in-between the root canal apices of both mandibular incisors. Treatment included non-surgical endodontic treatment with both mandibular central incisors and antibiotic coverage following bacterial culture of discharge. The pus culture showed Streptococcus anginosus which was found to be sensitive to penicillin. Patient was kept on 1-week course of oral amoxicillin-clavulanate along with root canal therapy.
The cutaneous sinus healed following root canal treatment and antibiotic coverage. On an 8-year follow-up skin of sub-mental region appeared normal and peri-apical healing with both mandibular central incisors was evident radiographically. Cutaneous lesions on face may be of dental origin. A cross referral between dentists, physicians, surgeons, and dermatologists should be considered in such cases.
Downloads
Additional Files
Published
How to Cite
Issue
Section
License
The authors are required to transfer the copyright of the published paper to the journal. This is done by agreeing to sign the Copyright Assignment Form. Whenever the case, authors are also required to send permissions to reproduce material (such as illustrations) from the copyright holder.

The papers published in the journal are licensed under a Creative Commons Attribution-NonCommercial-NoDerivatives 4.0 International License.