Management of intrinsic discoloration using walking bleach technique in maxillary central incisors
DOI:
https://doi.org/10.15386/cjmed-852Keywords:
bleaching, nonvital teeth, walking bleach techniqueAbstract
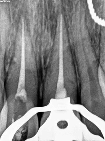
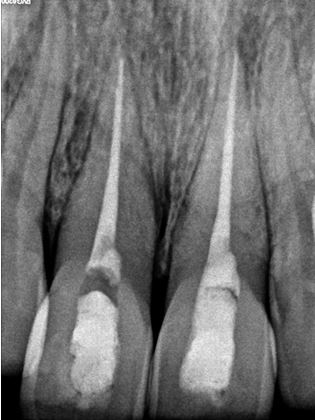
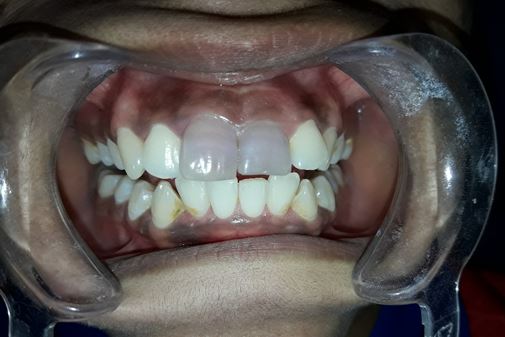
Introduction. Non-vital bleaching is a non-invasive technique to treat the intrinsic discoloration of teeth of several etiologies. Hydrogen peroxide and sodium perborate are commonly used bleaching agents.
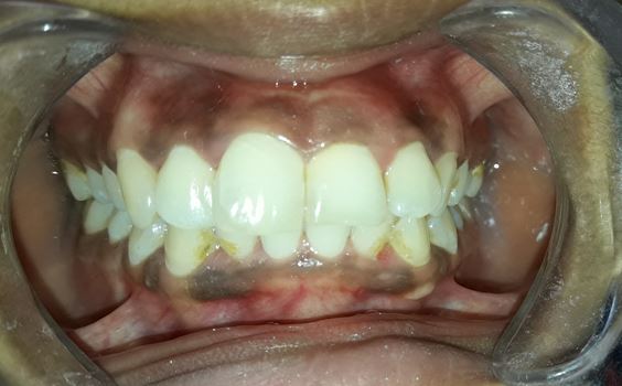
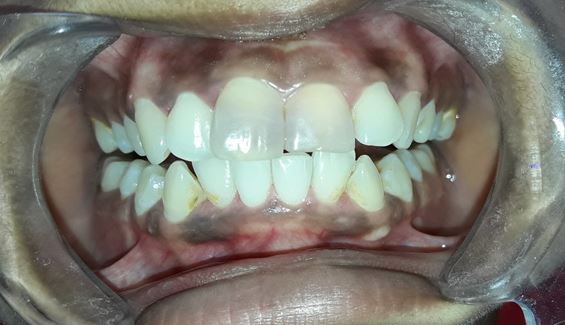
Aim. The aim of this case report is to demonstrate the non-vital bleaching technique in maxillary anterior teeth.
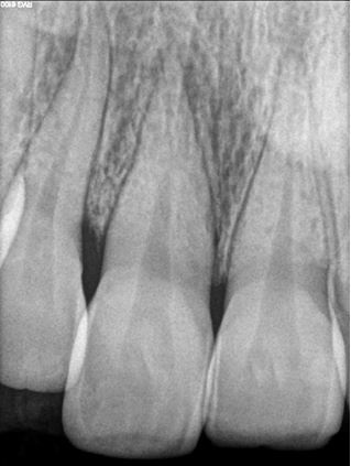
Method. Maxillary central incisors were isolated with rubber dam and root canal treatment was performed. Barrier space preparation was done using a heated instrument. Glass ionomer cement was used a barrier material. Mixture of hydrogen peroxide and sodium perborate was placed in the canal and sealed with intermediate restorative material. After 1 week, the procedure was repeated to achieve the desired results.
Conclusion. Non-vital bleaching is a minimally invasive procedure to restore the esthetics of a discolored non-vital tooth. However, care should be taken to prevent any post-operative complications.
Downloads
Additional Files
Published
How to Cite
Issue
Section
License
The authors are required to transfer the copyright of the published paper to the journal. This is done by agreeing to sign the Copyright Assignment Form. Whenever the case, authors are also required to send permissions to reproduce material (such as illustrations) from the copyright holder.

The papers published in the journal are licensed under a Creative Commons Attribution-NonCommercial-NoDerivatives 4.0 International License.